BLOOD TESTING
At K K Diagnostic Centre, we provide accurate and reliable blood testing services to help monitor your health. From checking blood sugar and cholesterol to detecting infections, our modern lab delivers fast results for better care.
At K K Diagnostic Centre, we provide accurate and reliable blood testing services to help monitor your health. From checking blood sugar and cholesterol to detecting infections, our modern lab delivers fast results for better care.
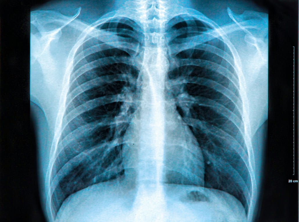
We offer Advanced X-ray services to help Diagnose a variety of conditions. Our quick and noninvasive X-ray imaging provides clear visuals of bones and soft tissues, assisting healthcare providers in identifying fractures, infections, and other Medical issues accurately.
We offer precise ECG testing to monitor your heart’s electrical activity. Our quick and non-invasive test helps detect irregular heartbeats and other heart conditions, ensuring timely and accurate diagnosis for your cardiac health.
We provide comprehensive EEG testing to monitor brain activity accurately. Our non-invasive procedure uses advanced technology to detect conditions like epilepsy and sleep disorders, helping you and your healthcare provider understand your neurological health better.
We offer HSG (Hysterosalpingography) testing to assess reproductive health. This specialized X-ray procedure involves injecting a contrast dye to check for blockages and abnormalities in the uterus and fallopian tubes, providing valuable insights for fertility evaluation.
We offer comprehensive thyroid testing to evaluate your Thyroid function accurately. Our Specialized blood tests measure hormone levels to diagnose conditions like hypothyroidism and hyperthyroidism, ensuring you receive the right care and management for optimal health.
We offer advanced diagnostic imaging services, including X-rays, and portable X-rays to help detect and monitor health conditions. With cutting-edge technology and expert care, we ensure accurate results for better diagnosis and treatment planning.
Convenient and professional care at your doorstep. Our Home Visit Service brings expert healthcare and diagnostic services to the comfort of your home.